Diagnoser
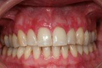
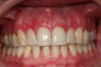
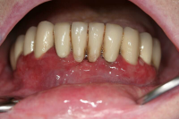
Gingivit är tandköttsinflammation som visar sig genom marginal blödning vid sondering, men där tanden ej har någon förlust av käkbensfäste.
Diagnosen gingivit används vid tänder med marginal inflammation och blödande tandkött, men ingen förekomst av marginal benförlust. Fickdjup 1–3 mm, pseudofickor kan förekomma upp till 5 mm.
Plackorsakad
Diagnostik
Ödematös, rodnad och blödande gingiva.
Ej plackorsakad
Diagnostik
Exempelvis gingival lichen, plasmacellsgingivit, slemhinnepemfigoid.
Gingival lichen

Plasmacellsgingivit

Benign slemhinnepemfigoid

Benign slemhinnepemfigoid

Vårdprogram
En volymökning av mjukvävnaden kring tänderna som är associerad med intag av läkemedel tillhörande grupperna antiepileptika, immunosuppressiva läkemedel och kalciumblockerare.
Inflammation är den utlösande faktorn som driver tillväxten av mjukvävnaden därför är plackkontroll av största vikt.
Diagnostik
Förekomst av gingivala hyperplasier med djupa tandköttsfickor och svåra hygienförhållanden som följd.
Läkemedelsinducerad gingival hyperplasi:

Vårdprogram
Akut inflammatorisk destruktiv sjukdom i gingiva och parodontium.
Diagnostik
Karakteriseras av approximala nekrotiska och fibrintäckta sår (nedsmälta papiller) som är smärtsamma vid beröring och mycket lättblödande.
Patienten kan ha påverkat allmän tillstånd och ofta foeter ex ore.
I anamnesen förekommer ofta kombination av nedsatt immunförsvar, rökning, stress och dålig munhygien. HIV/Aids kan finnas som bakgrundsfaktor.
Nekrotiserande ulcerös gingivit:

Vårdprogram
Nekrotiserande ulcerös gingivit och parodontit – vårdprogram
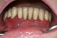
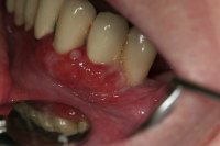
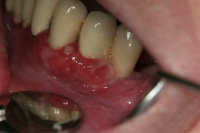
Akut, lokalt begränsad purulent (varig) inflammation i tandens parodontala vävnader.
Den vanligaste orsaken är akutisering av en kronisk parodontit som är associerad med en djup tandköttsficka eller en furkationsinvolverad tand.
Diagnostik
Svullnad, rodnad och ömhet, ibland värk.
Vårdprogram
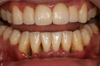
Gingival hälsa på intakt och reducerat parodontium.
Parodontal stabilitet karakteriseras av framgångsrik behandling genom kontroll av lokala och systemiska riskfaktorer, vilket resulterat i
- minimal blödning vid sondering (BVS < 10 % av tandytorna)
- fickdjup < 3 mm
- ingen progressiv parodontal nedbrytning/vävnadsförlust
- optimal förbättring i övriga kliniska parametrar hos behandlad parodontitpatient.
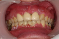
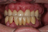
En bakteriellt orsakad inflammation som leder till en progressiv förlust av tändernas stödjevävnader.
Diagnostik
Det viktigaste måttet att påvisa sjukdom i parodontala vävnader är blödning.
Tanddiagnoser
Ref. Clinical Periodontology and Implant Dentistry, Sixth edition, 2015, Niklaus Lang & Jan Lindhe
- Gingivit blödning vid sondering, ingen benförlust, fickdjup 3 mm eller mindre. Parodontitis superficialis: fickdjup 5 mm eller mindre, horisontell och/eller angulär benförlust mer än 2 mm och blödning/pus vid sondering.
- Parodontitis profundus fickdjup 6 mm eller mer, horisontell och/eller angulär benförlust mer än 2 mm och blödning/pus vid sondering.
- Parodontitis interradikularis furkationsinvolvering
- horisontellt fickdjup 3 mm eller mindre: superficial furkation
- horisontellt fickdjup mer än 3 mm: djup furkation
Klassificering
Indelning i sjukdomsstadier och prognosgradering.
Parodontal tanddiagnos
Blödning vid sondering (BVS) är det viktigaste kliniska måttet att påvisa sjukdom i parodontala vävnader. Parodontal tanddiagnos ligger till grund för klassificeringen. Patienten kan klassificeras vid en approximal parodontal benförlust vid minst två, ej närstående tänder, 8:or exkluderas. Benförlusten bedöms vara resultatet av inflammatoriskt orsakad marginal benförlust. Patienten klassificeras efter den tand som har den mest omfattande parodontala benförlusten.
Sjukdomsutbredning
Sjukdomsstadier I-IV beskriver den parodontala sjukdomens svårighetsgrad och komplexitet. Sjukdomsutbredningen för aktuellt stadie beskrivs som lokal om den omfattar < 30% av tänderna, alternativt generell eller molar/incisivmönster. Prognosgradering bedöms först utifrån kriterier, antigen genom direkt eller indirekt bedömning, och justeras efter modifierande faktorer. Benförlust/ålder score innebär bestämning av benförlust vid den mest drabbade tanden i förhållande till patientens ålder (benförlust i % av rotlängden dividerat med ålder).
Klassificering av parodontitpatienter (pdf)
Vårdprogram, rutiner och remisser
Sjukdomarna neutropeni och Downs syndrom bland andra sjukdomar med nedsatt immunförsvar är förknippade med en ökad risk för parodontit till följd av en ökad infektionskänslighet.
Kontakta specialist.
En bakteriellt orsakad inflammation i vävnaden vid tandimplantat, vilket resulterat i en pågående förlust av käkbensfästet kring tandimplantatet.
Diagnostik
Svullnad, rodnad, blödning vid sondering, ofta pus, fördjupade fickor finns alltid men är mer svårbedömda än vid tänder, exempelvis vid djupt sittande implantat. Alltid marginal benförlust, ofta med kraterformat utseende.
Remiss till specialist inom tre månader från diagnos.
Rutiner, vårdprogram och remiss
En bakteriellt orsakad inflammation i mjukvävnaden vid tandimplantet, men utan ytterligare benförlust kring tandimplantatet. Det kan jämföras med gingivit vid tand och det kan gå tillbaka till frisk vävnad utan vävnadsförlust efter behandling (reversibel).
Diagnostik
Svullnad, rodnad, blödning vid sondering, ibland pus, fördjupade fickor förekommer men är mer svårbedömda än vid tänder, exempelvis vid djupt sittande implantat. Ingen marginal benförlust.